培训中心
training center
[荐]

病例分享∣上颌前牙即刻种植+GBR一例分享

  • 分类:临床病例
  • 作者:
  • 来源:
  • 发布时间:2022-09-30
  • 访问量:43

【概要描述】介绍一种不切断骨膜实现软组织减张方法

[荐]

病例分享∣上颌前牙即刻种植+GBR一例分享

【概要描述】介绍一种不切断骨膜实现软组织减张方法

  • 分类:临床病例
  • 作者:
  • 来源:
  • 发布时间:2022-09-30
  • 访问量:43
详情
上颌前牙即刻种植+GBR一例分享

—介绍一种不切断骨膜实现软组织减张方法—

白求恩国际和平医院:高天艳 张永红 段立立 刘云云  

指导:薛 毅

 

 

一、患者主诉

基本情况

患者姓名:张先生

性别:男,年龄:59岁

主诉:左上前牙松动要求治疗

现病史:左上前牙松动多年,未行治疗

既往史:体健,无不良嗜好

药物过敏史:无

 

二、术前检查

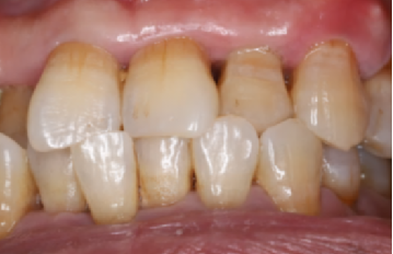
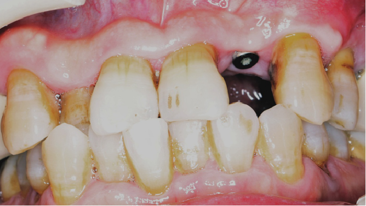
口内检查:全口牙龈轻度吸收,牙列不齐,12、22反合,口腔卫生一般。

主诉牙情况:22牙体颜色稍变暗,  松动 III 度,叩诊(-),牙 龈无红肿、溢脓、牙周袋 6mm,近远中龈乳头缺损。

 
 

 

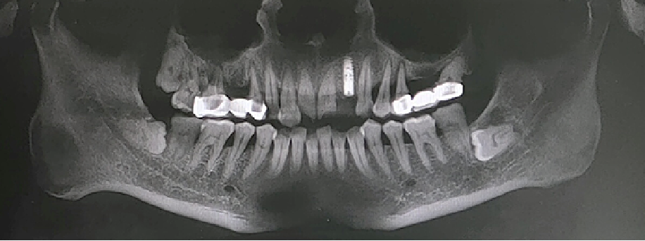
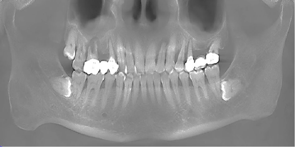
术前CBCT

21颊侧牙槽骨吸收至根尖,腭侧牙槽骨吸收至根尖1/3,根周可见低密度影。牙槽嵴宽度6.41mm。

局部反合、患牙长期牙周病变,骨质缺损,但软组织无明显缺失,为II类拔牙窝形态。

 

22冠状位CBCT情况

 

唇舌牙槽嵴宽度6.41mm,垂直骨缺失1/2,软组织无垂直向缺失。

 

三、主诉牙诊断及治疗预案

主诉牙诊断:慢性牙周炎(22牙

治疗预案:风险评估;知情同意告知(方案、风险、费用、替代方案);口腔卫生宣教;术前一周全口龈上洁治、牙周冲洗上洗必泰凝胶,22牙重点上药;手术前抽静脉血,制备PRF;微创拔牙;角型切口设计;即刻种植+GBR;拔牙创创口开放愈合;尊重患者意愿,不选择临时修复;试常规修复。

美学风险评估:中风险

 

 

四、治疗过程

使用12#镰形刀片沿21、22、23做龈沟内切口,于24近中做垂直附加切口。

 

翻开全厚粘骨膜瓣,暴露22颊侧牙槽骨,微创拔除22。

 

搔刮22拔牙创,暴露22牙槽骨表面,开放骨髓腔。

 

采用不切开骨膜的软组织扩张术——Soft Tissue Extend释放软组织张力

 

记录翻瓣后原始软组织瓣长度,使用软组织搔刮器(Soft Tissue Extender)冠根向搔刮软组织瓣。

 

在不切断骨膜的前提下,使用软组织刮治器反复搔刮软组织瓣,可以起到延长软组织瓣的作用。

使用软组织搔刮扩张前后对比:可见在不切断骨膜的前提下,使用软组织搔刮即可获得软组织瓣延长8-9mm。

 

五、标准种植外科备洞程序

 

使用球钻定位,逐级备孔。

完成备洞。

 

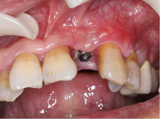
旋入种植体,初期稳定性为 30N。

 

直接上愈合基台。

 

 

 

六、GBR程序

 

术前抽静脉血制备的PRF胶原膜。

 

PRF浸出物调拌同种异体骨修复材料(拜欧金)。

 

颊侧缺损处放置骨修复材料,超出骨缺损区3-5mm,并将骨修复材料用力压实。

 

使用猪小肠粘膜下层来源的可吸收生物膜(瑞拜欧)覆盖骨修复材料表面。

 

修剪生物膜将其覆盖于植骨区(大小超出植骨区3-5mm),由于瑞拜欧可吸收生物膜具有良好的亲水性能和延展弹性,可完全自然舒展贴合植骨区,本例未做辅助固定,瑞拜欧生物膜表面PRF膜交叉覆盖。

 

缝合手术切口

瑞拜欧可吸收生物膜具有一定抗菌活性,复合PRF保护,尝试拔牙创开放愈合,保证了龈乳头原位缝合、避免了膜龈联合位置异位,有利于日后的美学效果,术后常规口腔护理、漱口、服用抗生素5天。

 

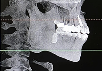
术后即刻CBCT

 
 

术后CBCT

 

术前术后CBCT对比

唇侧过量植骨希望最终能够实现存量骨组织>2mm。

 

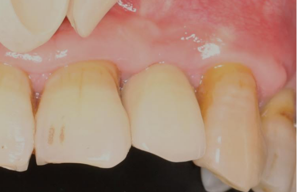
术后5天 拆线

牙龈稍显红肿,清洁、无感染迹象,伤口内可见纤维蛋白覆盖。

 

拆除缝线后牙龈情况。

 

切口区域上抑菌凝胶,嘱患者常规漱口、口腔卫生维护,勿用力“鼓腮”式漱口。

 

 

术后20天

PRF膜完全吸收,可见瑞拜欧胶原膜残存,明显上皮覆盖拔牙创,嘱患者常规漱口、口腔卫生维护。

 

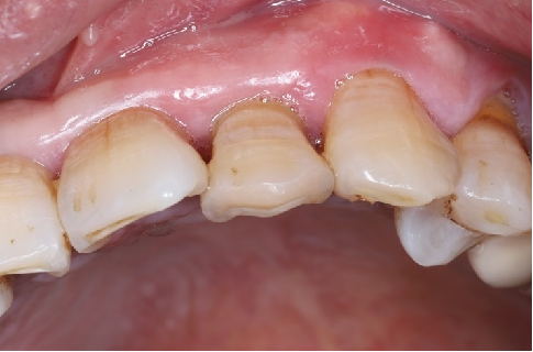
术后8周

牙龈软组织愈合,角化附着龈健康,口腔卫生一般,嘱患者重视日常口腔卫生维护。

 

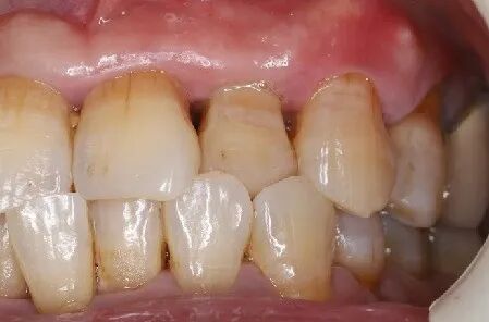
术后4.5个月口内照片

 

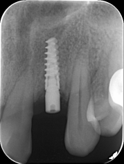
术后4.5个月根尖片

ISQ动度值颊舌/近远中为70/73。

 

 

术后4.5个月CBCT

 

术后即刻与术后4.5个月CBCT对比

可见种植体唇侧顶端有一定骨粉吸收,但仍在预期范围内。

 

术后5个月完成修复

常规印模制取,应患者要求,术后5个月完成修复。

 

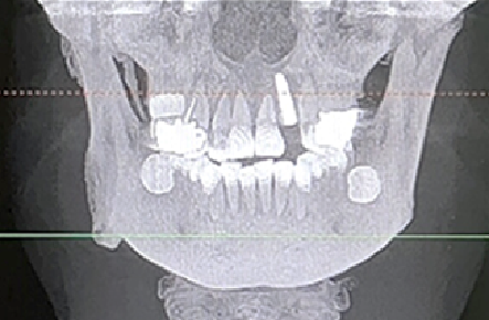
戴牙后20天复查X线检查

 

术前术后对比

 

七、讨论

本病例为美学区慢性牙周炎致单颗牙松动不能保留行即刻种植一例极普通病例。诊疗体会如下:   

影像学分析、术前美学风险评估是临床工作的起始点,术中微创拔牙并进行规范化的外科操作,特别是正确的种植体三维位置植入,初期稳定性的把控是成功的要素。

软组织减张创口管理关闭至关重要。由于拔牙创口的存在,常存在软组织不足创口关闭困难的问题,同时引导骨再生术中一般需要过量植骨,软组织瓣张力释放十分重要。本病例没有沿用经典的骨膜切开减张方法,而是遵循保留“血供最大化”的理念,尝试自创的不切开骨膜的软组织瓣搔刮扩张技术——Soft Tissue Extend,获得了延长软组织瓣8-9mm,实现了软组织瓣的有效减张,也保存了骨膜及骨膜上软组织微血管网的完整性、进而最大限度保留了骨再生区的血供,减少创缘血供不良导致裂开、感染的风险。

使用PRF+猪小肠黏膜下层来源(SIS)可吸收生物膜充填覆盖创口暴露区——选择性“开放性愈合”,保障了龈乳头、膜龈联合位置不变,最终可获得更充分的角化附着龈,为美学效果改善、角化龈不足相关病的预防奠定了基础 。SIS可吸收生物膜具有比一般常规胶原膜更强的抗降解性能,亲水性强、弹性好、具有一定抗菌能力等特点,为在口腔环境选择性“开放性愈合”创造了条件,拓展了牙槽嵴保存创口管理的适应症。

本病例选用国产种植体、大清生物拜殴金同种异体骨骨修复材料、瑞拜欧SIS可吸收生物膜进行引导骨再生术、水平向骨增量,个案短期临床效果初步提示国产种植体结合国产同种异体骨同样具有很好的生物相容性和骨再生、骨结合能力,同种异体骨含有骨诱导因子,较合理的吸收替代速率,可实现维持骨弓轮廓稳定,为本病例种植体骨结合与拔牙窝同期完成提供了保障。

由于患者需求因素未进行“即刻临时修复体”的制作和个性化过度义齿试戴,一定程度上影响了术后美学效果的提升。

修复阶段,使用个性化印模制备模型,订制个性化基台螺丝固位,改变了患牙原始的反合情况,尽量纠正为浅覆盖,美观方面有所提升。

仅代表个人此病例的体会,长期效果仍在进一步观察中。

 

 薛毅 教授

白求恩国际和平医院

“终身成就专家”

中华口腔医学会理事

中华口腔医学会口腔种植专委会委员

中华口腔医学会牙周病学专委会委员

第一届河北省口腔种植专委会主任委员

河北省口腔医学会副会长

 
 
 

 

扫二维码用手机看

化铝铝业

北京大清西格科技有限公司(简称大清西格)创建于1999年,位于北京市昌平区,总占地约2000平米,是北京大清生物技术股份有限公司旗下的全资子公司。

联系信息

公司地址:

北京市昌平区永安路38号

联系电话:

010-89783505

企业邮箱:

dtseager@datsing.com